Skip to main content
Hospital for Special Surgery Logo
phone 1.212.606.1000
Make an Appointment
1.212.606.1000 Make an Appointment
Back to Patient Stories Overview
Barbara Wenzel

Barbara Wenzel

New York, NY

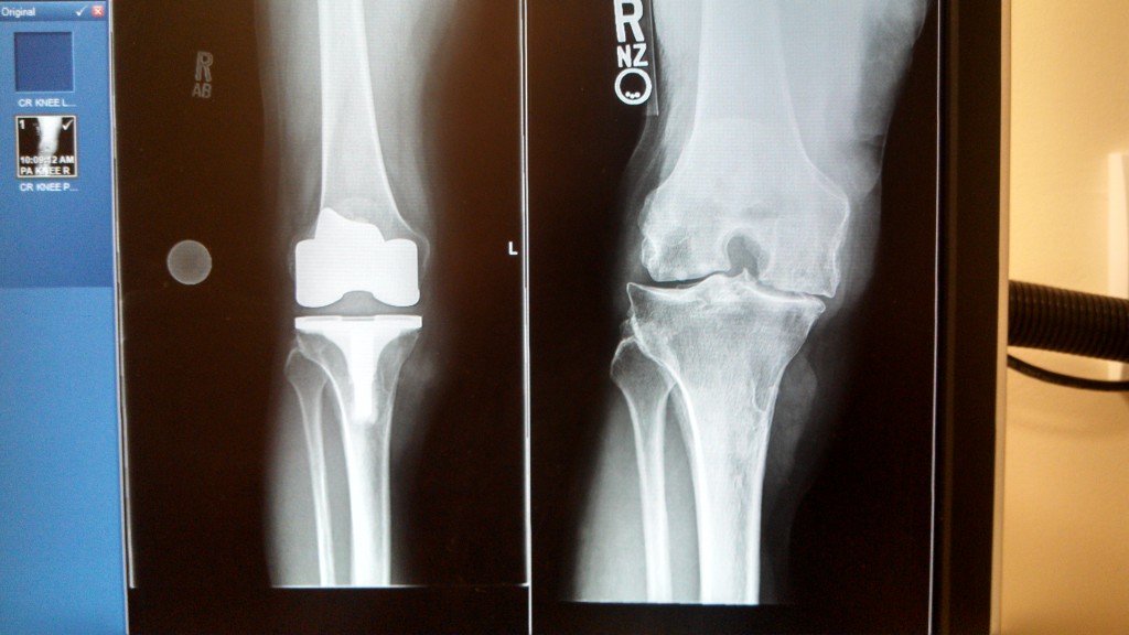
Knee Replacement

Barbara Wenzel

I had had multiple meniscus tears in my right knee as a result of increasing debilitation. My retirement plan included hiking in the Alps. Several surgeons I saw agreed I only needed right lateral unicondylar replacement and HSS was definitely the place to go. Thank you Dr. Peter Sculco!!! I completed the Tour du Mont Blanc without difficulty and was the only one not complaining of knee pain. The trip required hikes of 9-10 miles per day up and down 2500-4000 ft. Don’t be horrified Dr. Sculco - I feel great! I spent another 3 weeks hiking in Switzerland. Next year you will find me in the Italian Dolomites!

HSS Providers

Peter K. Sculco, MD

Peter K. Sculco, MD

Hip and Knee Replacement Surgeon

Schedule a virtual or in-person appointment with an HSS specialist today. Start your request online or call 1.800.796.0482.

Make an Appointment