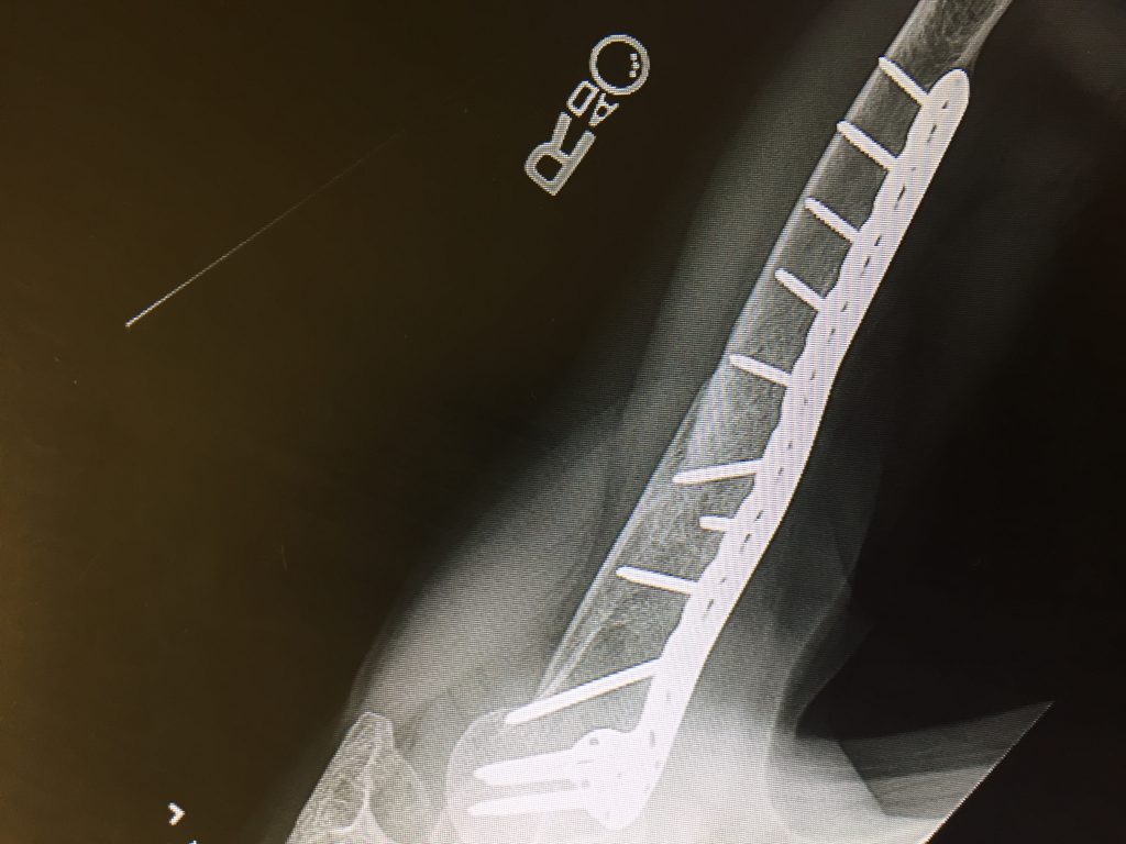
Susan Weinstein
Edgewater, NJ
Arm and Elbow Fractures
Share this Story
The most amazing hospital and the most amazing surgeon. After a year of seeing 5 different doctors, Dr. Wellman performed the surgery and rebuilt my severely broken and shattered humerus. The pictures speak for themselves. WHAT SCAR?!
HSS Providers
Schedule a virtual or in-person appointment with an HSS specialist today. Start your request online or call 1.800.796.0482.
Similar Stories by Topic
Explore Related Patient Stories
View All Patient Stories
Margaret Kaufer
Larchmont, NY
Arm and Elbow Fractures
Nicole Gentile
Hackensack, NJ
Arm and Elbow Fractures
Josephine Bila
New York, NY
Arm and Elbow Fractures
Erika Chamberland
New York, NY
Arm and Elbow Fractures
Joanna Bowden
New York, NY
Arm and Elbow Fractures
Philip Fantasia
West Haverstraw, NY
Arm and Elbow Fractures
Victor Katz
Suffern, NY
Arm and Elbow Fractures
Benjamin Trachtman
New York, NY
Arm and Elbow Fractures
Virginia DeWind
New York, NY
Arm and Elbow Fractures
Jodie Garay
Brooklyn, NY
Arm and Elbow Fractures
Henry Fair
Brooklyn, NY
Arm and Elbow Fractures
Michael Zaletel
Ponce, Puerto Rico
Arm and Elbow Fractures
Dante Fusco
Pelham, NY
Arm and Elbow Fractures
Jonathan Meditz
Queens, NY
Arm and Elbow Fractures
Paul Blundell
Boca Raton, FL
Arm and Elbow Fractures