What's the Diagnosis?
These cases are a means for practitioners to test their orthopaedic, rheumatologic and radiology/imaging knowledge. Monthly, new cases will be presented as unknowns. The answers will be available and indexed so that should you want to search on cases representative of a specific topic, you can do so.
We know you like to be challenged and hope this section meets your expectations.
Case of the Month
From the HSS Department of Radiology and Imaging
Eric Bogner, MD – Editor
Chief, Division of Computer Tomography, Hospital for Special Surgery
Attending Radiologist, Hospital for Special Surgery
Professor of Clinical Radiology, Weill Cornell Medical College
Straight from the records and teaching files at Hospital for Special Surgery, these cases are intended to be representative and informative demonstrating the comprehensive care of orthopaedics, rheumatology, radiology and imaging, and related services at HSS.
![]() |
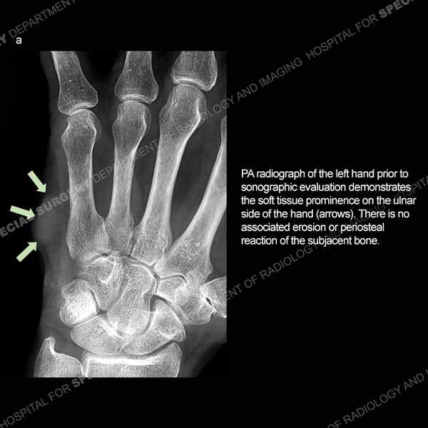
Featured Case of the MonthCase 211: 72 year old woman with wrist pain.
|
Ultrasound of the Month
From the HSS Division of Musculoskeletal Ultrasound
Ji Lin, MD
Assistant Attending Radiologist, Hospital for Special Surgery
Assistant Professor of Radiology, Weill Cornell Medical College
Ultrasound of the month represents a collection of interesting and sometimes diagnostically challenging cases that demonstrates the utility of ultrasound in the diagnosis and treatment of a variety of musculoskeletal conditions. The cases will be illustrative of both normal and pathologic sonographic anatomy.
![]() |
Featured Ultrasound of the Month Case |

